最新の医療機器により、迅速かつ正確な画像診断を行っております。
-
- 病院CT室 Aquilion ONE(320列) キヤノン
- 外来棟CT室 Aquilion PRIME(80列) キヤノン
- MRI室 Ambition 1.5T PHILIPS
- 血管造影室 Azurion7 Biplane PHILIPS
- マンモグラフィ装置 AMULET SOPHINITY 富士フイルム
- X線透視診断装置 ZEXIRA キヤノン(第3撮影室)
- Raffine-i キヤノン(第5撮影室)
- Plessart ZERO キヤノン(外来棟透視室)
放射線検査依頼書・造影剤使用の説明・同意書など
放射線科被ばく相談について
患者さま及びそのご家族の方に安心して検査を受けていただくために放射線被ばく相談をさせていただいております。
放射線被ばく相談につきましては、メールでの対応を2023年9月30日で終了いたしました。
お手数ではございますが、お電話にてお問い合わせください。
病院代表 04-7124-6666 「放射線科被ばく相談担当宛」へお願い致します。
スタッフ
| 常勤放射線専門医 | 1名 |
|---|---|
| 非常勤放射線専門医 | 1名 |
| 診療放射線技師 | 9名(男性 13名,女性 6名) |
| クラーク | 2名 |
認定資格
-
- 磁気共鳴専門技術者
- X線CT認定技師
- 肺がんCT検診認定技師
- 胃がんX線検診技術部門B資格
- マンモグラフィー撮影認定診療放射線技師
- 放射線管理士
- 放射線機器管理士
- 放射線被ばく相談員
- 医療画像情報精度管理士
- 画像等手術支援認定診療放射線技師
- 臨床実習指導教員
- 第1種放射線取扱主任者
-
検査機器の概要(病院・外来棟)
一般撮影装置 6台 透視撮影装置 3台 乳房撮影装置 1台 手術用透視装置 2台 ポータブル撮影装置 3台 手術室用ポータブル撮影装置 1台 血管撮影装置 1台 前腕用骨密度測定装置 1台 全身用 CT 装置 2台 腰椎、股関節用骨密度測定装置 1台 全身用 MRI 装置 1台 被ばく線量管理システムDoseXross キヤノン、RADInsight コニカミノルタ
CT装置や血管撮影装置、透視診断装置などX線画像診断システムの情報を収集して分析・管理できるシステムを導入しています。最適な線量管理、装置稼働状況を分析し、さらに患者さま一人ひとりの線量管理が可能となりました。医療放射線を適正に管理することで、安心・安全な医療を提供していきます。
また、RADInsightでは詳細な検査履歴データおよびNG画像も含む全画像を収集・見える化することで、再撮影管理と教育、業務分析をしています。
各撮影室の概要
第一撮影室
当院では、一般撮影装置、X線骨密度測定装置DiscoveryFPD(フラットパネルディテクター)を導入しており、被ばく線量を低く撮影することが出来ます。
X線骨密度測定装置Discovery(腰椎・股関節)は主に、整形外科の患者さまの撮影に使用されています。- 1)コニカ社製のFPDシステム
- 2)コニカ社製のFPDシステム
- 3)X線骨密度装置「Discovery」
-
第二撮影室
一般撮影装置、デジタルマンモグラフィ装置、骨密度設定装置
- マンモグラフィ装置 【AMULET SOPHINITY】
- 当院では、マンモグラフィの専門資格を有する画像診断医と撮影技術認定を有する女性放射線技師が中心となってマンモグラフィ検査を行っております。・新機種導入しました2024年2月より富士フイルム社製マンモグラフィ装置 AMULET SOPHINITY を稼働しています。
直接変換方式FPD最小サイズ50μmにより、微小石灰化を高精細に描出し乳がんを早期発見できます。
また、線質補正を行うISC、信号成分とノイズを分離し、信号強調とノイズ抑制を同時に行うFSCも搭載しています。
・3Dマンモグラフィ(トモシンセシス)を導入しました従来のマンモグラフィ(2D画像)では乳腺と病変部分が重なると診断しづらい場合がありましたが、トモシンセシスでは連続的に低線量でX線を照射し複数方向から乳房を撮影することにより、三次元的に細かくスライスした断層像が得られます。
これにより、乳腺と病変を分離して描出し、これまで発見が難しかった病変の描出が可能となります。
また、1回の圧迫で2D、トモシンセシス両方の撮影が可能なので圧迫する回数は従来のマンモグラフィと変わりません。
- ・圧迫自動減圧制御機能を搭載しています通常の乳房圧迫完了後に、乳房の厚みが変化しない範囲で圧迫圧を減圧する機能です。
最大圧迫圧となっている時間を短縮することで痛みを軽減します。
画質に影響しない範囲で減圧するため診断には影響ありません。 
- ※ 乳房の状態、撮影方法などにより圧迫自動減圧制御機能を使用できない場合もあります。出典:富士フィルムメディカル株式会社
第三撮影室
X線透視診断装置:ZEXIRA
食道、胃部透視撮影(バリウム検査)を行っています。

第五撮影室
X線透視診断装置:Raffine-i、体外衝撃波結石破砕装置(ESWL)DeltaⅡ、一般撮影装置、Oneshot長尺(全脊椎・下肢全長用)システム
ESWL、整形外科系造影検査、経内視鏡的胆管膵管造影検査(ERCP)や気管支鏡検査を行っています。Oneshot長尺システムは、整形外科の患者さまの全脊椎や下肢全長撮影に使用されています。1回の撮影で広範囲の撮影が可能であり、時間の短縮、被ばくの低域が可能となりました。
- X線透視診断装置:Raffine-i
- Oneshot長尺(全脊椎・下肢全長用)システム
CT検査室
装置名:Aquilion ONE(キャノン320列マルチスライスCT)
機能の特徴
- 高速撮影・撮影範囲の拡大
- 高画質
- 低被ばく
CT(Computed Tomography : コンピュータ断層診断装置)
装置名:Aquilion ONE NATURE(キヤノンメディカルシステムズ)
CT検査とは
CT検査はX線を回転させながら人体に照射し、身体の断面画像を得る検査です。
CT装置をはじめ、画像作成ワークステーションなどの技術の進歩により短時間で全身の精密なが画像をえられるようになりました。CT検査の特徴
検出器の多列化により短時間に広範囲の撮影が可能となりました。また1度の撮影で様々な断面画像を得られます。得られた画像をワークステーションで解析することで3D画像を作成できます。
造影剤を使用することで病変や血管を詳細に描出できるため病変部の血管走行を把握することができます。血管走行の3Dは手術プランに役立てられます。- 腰部血管3D
- 頭部動静脈3D
CT装置
2021年11月よりキヤノンメディカルシステムズ社製Aquilion ONE NATURE を稼働しています。0.5mm×320列の検出器を搭載しており、X線1回転で16cmの幅を最短0.275秒で撮影できます。脳や心臓などは1回転で臓器全体を撮影できます。
また、深層学習(AI)による画像再構成や逐次近似再構成により被ばく線量を低減して検査ができます。-
- Aquilion ONE
特殊検査
心臓(冠動脈)CT検査
- 心臓を栄養する冠動脈を検査することができます。これまでは狭心症や心筋梗塞といった冠動脈の狭窄や詰まってしまう病気の診断は、最終的には心臓カテーテル検査を行うしかありませんでした。心臓カテーテル検査は手や足の動脈からカテーテルを入れてそこから造影剤を注入しX線を照射しながら行う検査で入院の必要もあります。しかし、心臓CT検査は外来で検査することができ、患者さまの負担が少なくてすむことが特徴です。心臓CT検査で狭くなっている冠動脈を発見して心筋梗塞になる前に治療することができます。冠動脈CT検査の長所と短所
長所
・入院の必要がない
・心臓カテーテル検査に比べて検査時間が短い(10分程度)
・心臓カテーテル検査に比べて患者さまの負担が少ない短所
・造影剤を使用するため、造影剤が使用できない方は検査ができない
・心拍数が高い方、不整脈が強い方は血管がうまく描出できない場合がある※造影剤アレルギーがある方など造影剤が使用できない方もいます。
2021年11月より稼働している320列CTでは数秒の息止めで心臓全体を撮影できるため検査時間が短く、従来よりも患者さまの負担が少なくなっています。
冠動脈の病気が気になる方はご相談ください。 
大腸CT検査(CTC:CT Colonography)
CTC(CTコロノグラフィー)検査とはCTによる大腸検査のことです。内視鏡を使用せずに大腸内部の検査が行えます。
CTC検査は二酸化炭素ガスで大腸を膨らませてから、仰向けやうつ伏せなど体位を変えて腹部を2回CT撮影します。画像データをワークステーションで解析して下図のような大腸全体の観察や、仮想内視鏡像から大腸内腔を観察します。
検査の前処置として下剤を飲み、腸の中の便を排出していただく必要がありますが、内視鏡検査より苦痛がなく低侵襲に検査を受けていただけます。
当院のCTC検査は内視鏡の補佐的検査や術前検査の場合と、スクリーニング検査として行う場合とがあり、検査目的により検査前に経口造影剤を服用していただくこともあります。
その他詳しくは各診療科にご相談ください。

-
-
MRI検査室
当院では2023年11月より最新機種Philips社製1.5TMRI装置Ambitionを導入し運用を開始しました。従来装置に比べ撮像時間の短縮、画質向上また、新たな撮像方法による診断の質の向上が目的です。

-
装置の特徴
- ・最新のAIを搭載
- 画像ノイズを除去することにより画質が向上
撮像時間の短縮につながる例)頭部ルーチン検査(MRA含む)
従来装置 15~20分程度
最新装置 10~12分程度
- ・従来装置と比較しトンネル径が広い
- ・従来装置と比較しトンネル内が明るい
- ・寝台マットのクッション性の向上(柔らかくなった)により臥位の体勢を維持しやすい
患者様の事を第一に考えてMRI検査全体の向上を図って参ります。
-
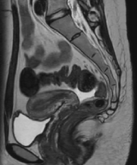
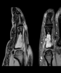
- 頭部画像
- 胆のう・胆管・膵管
- 腰椎
- 女性骨盤
- 手指
Ambientシステム
Ambientシステムとは、長時間の検査に対するストレス軽減、閉所恐怖症対策の為に導入した映像システムです。検査中装置後面に設置したモニターの映像を鏡越しに鑑賞するものです。
ご希望の方はお申し出ください。但し、検査部位によって使用できない場合もあります。
担当スタッフまでお問合せください。- ※Ambientシステムイメージ画像 映像は変わる場合があります
血管造影室
血管造影X線診断装置 Azurion7 B20/15
導入日2022.4
-
- 血管造影X線診断装置 Azurion7 B20/15 導入日2022.4
頭部・心臓をはじめ全身対応のフラットパネルバイプレーン血管造影装置です。
患者様に低侵襲治療をより安全に、より効率的に施行する事が可能な最新モデルです。主な特徴
- バイプレーンシステム
- ダブルCアーム方式を採用した2軸方式による同時2方向撮影が可能。
造影剤使用量の低減および検査時間の短縮により、患者様の負担の低減に繋がります。
- Clarity IQ technology
- 少ないX線量で高画質の撮影が可能で、従来の装置に比べ被ばくを低減することが可能。
- リアルタイム3D再構成機能
- 高速回転撮影中にリアルタイム3D再構成が可能で、撮影が終わると即時に3D画像が表示されます。さらにさまざまな計測・シミュレーション機能を搭載し、あらゆる手技を支援する機能です。
-

-
-
- ダイナミック3Dロードマッピング機能(SmartCT Roadmap)
- 血管3D像と透視画像とのフュージョンにより、3Dロードマップを可能とし低侵襲化を実現します。ロードマップはアームの回転・SIDや視野サイズの変更・寝台の移動だけでなく体動にも追従する動態補正機能を搭載し、多くの操作を自動化することで、よりスムーズかつ安全に手術を支援します。
- SmartCT Roadmap
-
-
- コーンビームCT撮影機能
- 高速回転撮影データを自動再構成することによりCT装置同様の画像を取得することが可能。
- 栄養血管候補の描出/ナビゲーション機能(EmboGuide)
- 肝細胞癌に対するTACE(肝動脈化学塞栓療法)の際、得られた3D情報をもとに腫瘍に関わる栄養血管候補を描出し、複数の複雑で微細な塞栓ルート候補に対する治療戦略のシミュレーションを可能にします。
- EmboGuide
-
担当医

松尾 周也まつお しゅうや
放射線科医長
略歴・経歴
鳥取大学
専門分野
画像診断一般
資格・専門医
日本医学放射線学会専門医
日本乳がん検診精度管理中央機構検診マンモグラフィ読影認定医
臨床研修指導医
所属学会
日本医学放射線学会

新津 守にいつ まもる
東京医科大学病院 放射線科 客員教授
略歴・経歴
筑波大学
専門分野
画像診断、特に関節、骨軟部疾患、スポーツ医学、MRI
資格・専門医
厚生労働省臨床研修指導医
日本医学放射線学会研修指導医
日本医学放射線学会放射線診断専門医、医学物理士、第一種放射線取扱主任者
所属学会
Radiological Society of North America
Internal Society of Magnetic Resonance in Medicine
International Skeletal Society
日本医学放射線学会
日本磁気共鳴医学会
日本臨床スポーツ医学会





